精彩推荐:青光眼 白内障 近视 远视 散光 斜视弱视 角膜溃疡 角膜炎 沙眼 眼外伤 更多疾病
大众频道
专业频道
时尚频道
互动频道
疾 病 | 保 健 | 爱眼动态 | 名医名院
知 识 | 美 食 | 自检自测 | 爱眼纪事
资 讯 | 临 床 | 学 术 | 文 献
图 谱 | 医 患 | 继 教 | 家 园
五官之美 | 整 形 | 美 容
眼镜一族 | 妆 容 | 图 库
眼科在线 | 预留位置
眼科知道 | 在线咨询
  当前位置: 中华眼科在线 >> 医学频道 >> 临床医学 >> 病例分析 切换到繁體中文 用户登录 新用户注册
虹膜黑色素瘤病例

http://www.cnophol.com 2007-12-18 16:14:25 中华眼科在线


A)虹膜睫状体切除术后,患者发生术后性张力降低,导致脉络膜渗出,视神经肿胀。低眼压性黄斑病变与暂时性术后视力下降有关。


B) 眼内压在几周内上升,视神经肿胀及低眼压性黄斑病变在2-3周有所缓解。视力在术后1个月为20/20。


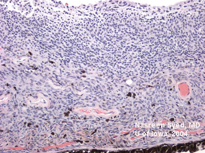
图6:虹膜黑色素瘤的病理图片
低倍镜下被切除的含黑色素瘤的虹膜组织


100倍镜下包含黑色素瘤及痣细胞的瘤组织。细胞为侵袭性的、着色的,并形成巢状。

200倍镜下的瘤组织,漂白去处黑色素。可以看到大的空泡状的细胞核。细胞结构呈异型性。

切片显示瘤组织没有侵入巩膜

 

上一页  [1] [2] [3] [4] [5] 下一页

(来源:正大光明)(责编:xhhdm)

下一条:
更多关于(眼科,眼科医学,眼科疾病,虹膜黑色素瘤,虹膜,视力矫正,眼底检查,视网膜,白内障,青光眼)的信息
  热门图文

眼袋日常护肤8大高招

5款至酷太阳镜 型男必

08韩国时尚达人眼镜秀

炫酷太阳镜打造时尚酷
  健康新看点
  健康多视点
  图话健康

Copyright © 2007 中华眼科在线 网站备案序列号: 京ICP备06023366号
本网站由五景药业主办 北京金鼎盛世医学传媒机构负责运营 国家医学教育发展中心提供学术支持
服务电话:010-63330565 服务邮箱: [email protected]